제이준 눈밑지방제거
과도한 지방을 자르거나 레이저로 태워 지방을 제거함으로써 평평하고 매끈한 눈가로 만들어주는 수술
수술시간30분~1시간
마취방법수면마취, 국소마취
입원여부당일 퇴원
실밥제거불필요
개인의 상태에 따라 달라질 수 있음
회복기간5~7일
개인의 상태에 따라 출혈, 멍 등 부작용이 발생할 수 있으며 회복기간이 다를 수 있습니다

제이준 눈밑지방제거
수술대상
01
다크써클 때문에 인상이 칙칙해 보이고 아파 보이는 경우
02
눈밑 지방이 불룩하게 돌출된 부위가 처져서 눈밑이 그늘지는 경우
03
화장을 하여도 눈 밑의 어두운 부분이 가려지지 않는 경우
04
눈밑 지방이 돌출되고 울퉁불퉁하여 노안으로 보이는 경우

제이준 눈밑지방제거
수술방법
01

눈 밑에 튀어나온 지방의 범위와 모양을 진단하여 디자인
02

눈꺼풀 안쪽의 결막을 레이저로 최소 절개
03

결막을 통해 과도한 눈밑지방을 제거
04

탄력있고 환한 눈매로 완성
제이준 눈밑지방제거
눈밑지방제거의 특징
point 01
흉터최소화
눈밑 안쪽의 결막을 통해 수술하기 때문에 흉터 거의 없음
point 02
숙련된 전문의 집도
눈밑이 너무 꺼져 보이는 현상을 예방하기 위해서 눈밑의 지방을 적당히 제거
point 03
환하고 밝은 인상
눈 밑이 고르고 평평하게 되어 다크써클이 개선되고 밝아지는 인상

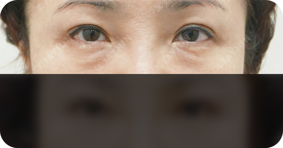
제이준 눈밑지방제거
전후사진
이미지를 클릭하시면
수술전후 사진을 확인할 수 있습니다.
제이준 성형외과의 특별함
아름다움의 기준,
당신의 제이준