제이준 눈썹밑거상술
노화가 진행되면서 눈썹과 눈꺼풀의 위치가 아래쪽으로 처지게 된다
눈썹의 아래를 절개하여 처진 피부를 당겨주는 수술
쌍꺼풀 수술 없이 효과적으로 피부가 늘어나기 전의 눈 모양으로 되돌릴 수 있다는 장점
수술시간30분~40분
마취방법수면마취, 국소마취
입원여부당일 퇴원
실밥제거5~7일
회복기간실밥 제거 후 일상생활
개인의 상태에 따라 출혈, 멍 등 부작용이 발생할 수 있으며 회복기간이 다를 수 있습니다

제이준 눈썹밑거상술
수술대상
01
기존 쌍꺼풀 라인은 그대로 유지하고 처진 피부만 개선을 원하는 경우
02
처진 눈꺼풀로 인하여 시야를 가리는 경우
03
노화로 인해 피부 탄력이 떨어져 눈꺼풀이 아래로 처지는 경우
04
늘어진 눈꺼풀로 짓무르거나 속눈썹이 눈을 찌르는 경우

제이준 눈썹밑거상술
수술방법
01

눈썹 아래 부분 최소 절개
02

처진 눈꺼풀을 잡아 위로 당김
03

처짐 재발을 방지를 위해 뼈막에 단단하게 고정 후 미세 봉합으로 마무리
제이준 눈썹밑거상술
눈썹밑거상술의 특징
point 01
보이지 않는 흉터
눈썹 경계 부분을 절개하기 때문에 거의 눈에 띄지 않는 흉터
point 02
자연스러운 인상
눈매는 자연스럽게, 주름은 확실하게 개선
point 03
쌍꺼풀 라인 유지
본인의 쌍꺼풀 라인을 유지하면서 교정 가능
point 04
빠른 회복
눈을 직접 건드리는 수술이 아니기 때문에 적은 부기와 빠른 회복

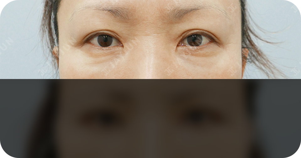
제이준 눈썹밑거상술
전후사진
이미지를 클릭하시면
수술전후 사진을 확인할 수 있습니다.
제이준 성형외과의 특별함
아름다움의 기준,
당신의 제이준