제이준 하안검 수술
눈 아래 피부에 전체적인 절개를 통해서 늘어진 피부를 제거하고, 불룩 튀어나오고 처진 지방을 제거 또는 재배치를 동시에 진행하는 수술
피부 늘어짐이 심하고 주름이 많은 50~70대에 적합한 눈밑 주름개선 수술
수술시간1시간
마취방법수면마취, 국소마취
입원여부당일 퇴원
실밥제거5~7일
회복기간실밥 제거 후 일상생활
개인의 상태에 따라 출혈, 멍 등 부작용이 발생할 수 있으며 회복기간이 다를 수 있습니다

제이준 하안검 수술
수술대상
01
눈 밑에 주름이 심해 그늘져 보이는 경우
02
눈 밑이 불룩하거나 처져 내려온 경우
03
피부 처짐이 심해 나이보다 더 들어 보이는 경우

제이준 하안검 수술
수술방법
01

늘어진 피부 상태와 지방의 모양을 고려하여 제거할 피부의 양을 결정하고 디자인
02

눈 아래 속눈썹라인에 가까운 부분을 절개하여 늘어지고 불필요한 피부와 지방을 제거하고 남은 지방은 재배치
03

늘어진 근육을 골막에 고정하여 주름을 제거 후 봉합
04

밝고 탄력있는 눈 밑 완성
제이준 하안검 수술
하안검 수술의 특징
point 01
부드럽고 또렷한 인상
불룩한 지방으로 그늘진 눈 밑과 잔주름까지 동시에 개선되어 부드럽고 또렷한 인상
point 02
보이지 않는 흉터
눈 밑 속눈썹 아래 미세절개로 흉터걱정을 줄임
point 03
젊어 보이는 동안효과
눈밑 지방 재배치를 해줌으로써 눈밑에 적당한 볼륨 완성

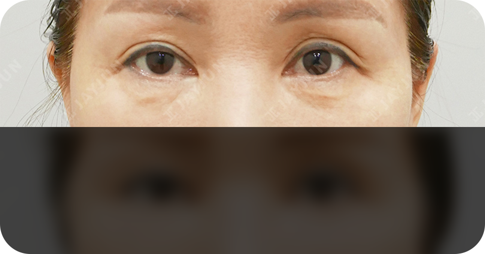
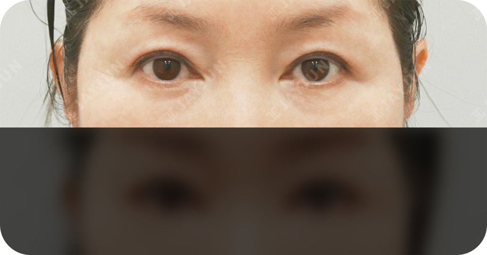
제이준 하안검 수술
전후사진
이미지를 클릭하시면
수술전후 사진을 확인할 수 있습니다.
제이준 성형외과의 특별함
아름다움의 기준,
당신의 제이준